动态平板 DR旗舰 DT520

品质高压,卓越表现

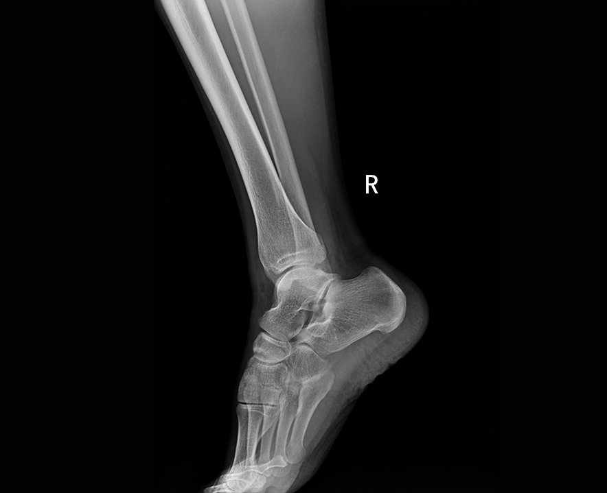
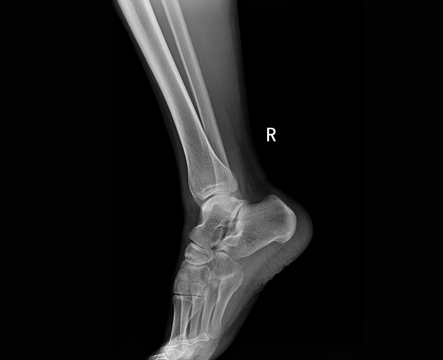
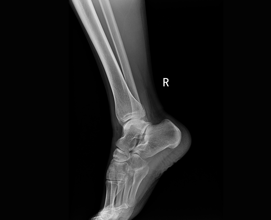
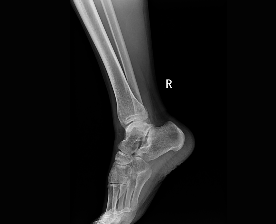
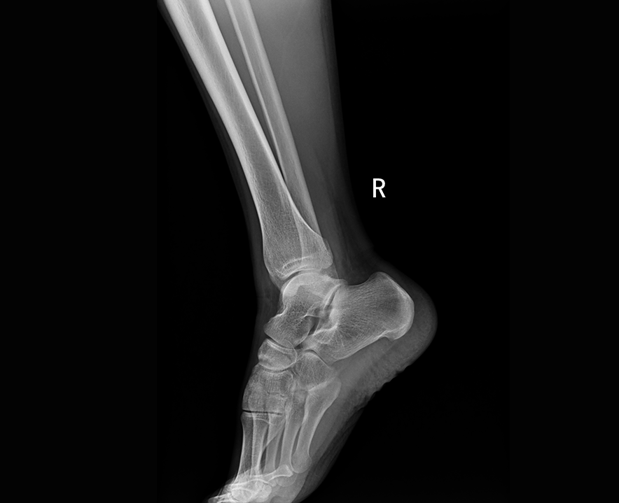
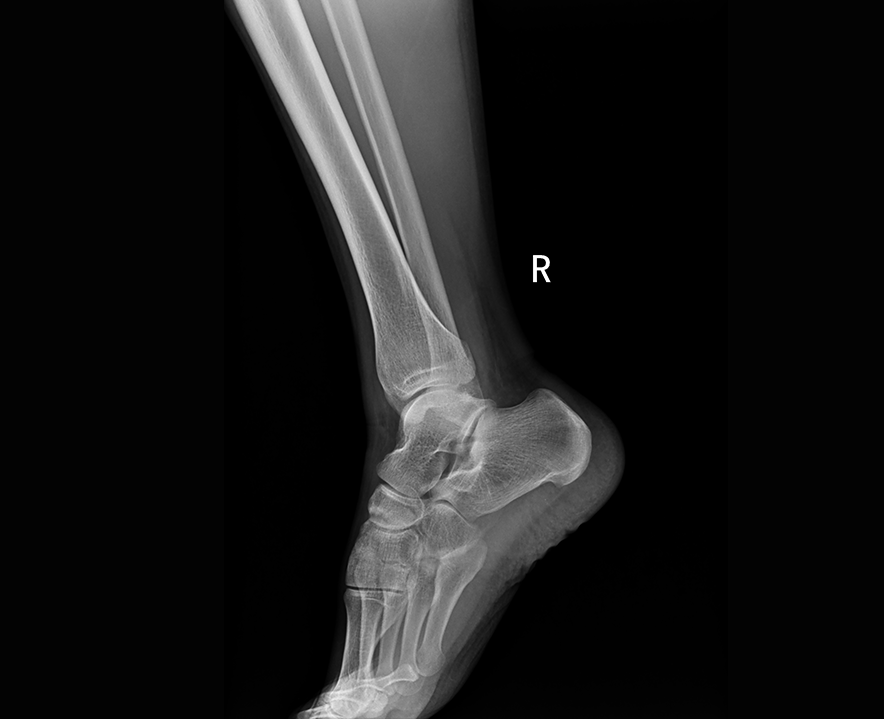
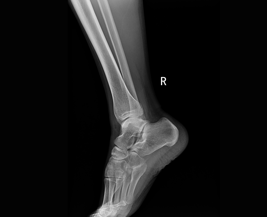
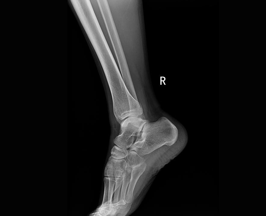
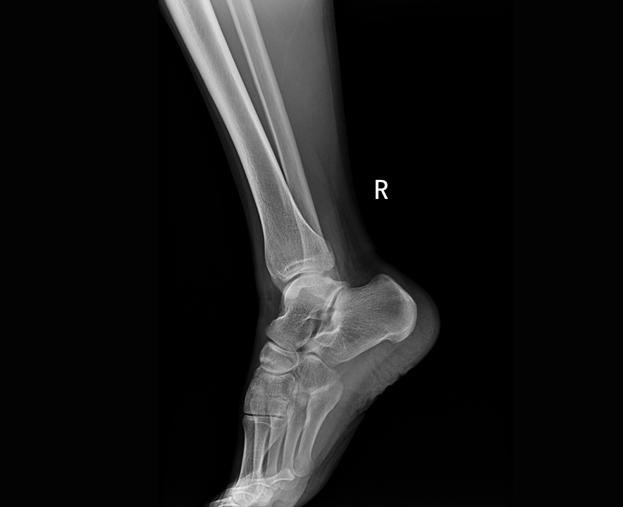
自主研发高频逆变高压发生器,配合高效自主增强图像处理技术,呈现清晰细腻的图像效果。

临床图像

有关ty8天游平台登录
公司简介
发展历程
企业社会责任
包豪斯理念
新闻
公司新闻
创新产品矩阵
创新负重锥束 CT 系列
创新动态功能悬吊 DR 系列
创新动态断层多功能胃肠 DR 系列
创新移动动态功能 DR 系列
创新DBT三维断层乳腺机
创新移动动态 C 臂系列
用户服务
客户服务
客户关爱
加入我们
社会招聘
校园招聘
成长在ty8天游平台登录
联系我们
联系方式
客户留言